Implantatbrücken für teilbezahnte Kiefer

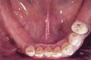
Festsitzende, implantatgetragene Seitenzahnbrücke

Früher wäre hier nur eine herausnehmbare Teilprothese infrage gekommen.

Schematischer Unterkiefer mit 3 Schraubimplantaten

Implantate für größere Lücken

Fehlen mehrere Zähne, so spricht man vom teilbezahnten Kiefer. Solche größeren Zahnlücken konnten früher oftmals nur mit herausnehmbaren Teilprothesen geschlossen werden, wenn eine Brückenversorgung nicht mehr möglich war. Implantate erlauben, die Lücke mit einer implantatgetragenen festsitzenden Brücke zu schließen, ohne herausnehmbare Prothesen und ohne Abschleifen gesunder Nachbarzähne.

Gestern

herausnehmbare Teilprothese mit Klammern

Eingesetzte Teilprothese
Sichtbare Klammern an den Frontzähnen

Heute

Ersatz der Unterkiefer-Seitenzähne beidseits mit natürlich aussehenden, festsitzenden Brücken und Kronen auf Implantaten.

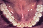
Unterkiefer mit Teilbezahnung
3 Implantate als Basis eingesetzt
Festsitzende Brücken und Kronen aufgesetzt

Weitere Informationen zur Implantologie und Implantatbrücken für teilbezahnte Kiefer finden Sie auch in folgendem PDF von Zahnarzt Dr. Rüffert – Zahnarztpraxis in Braunschweig.

PDF – Implantologie