

Wenn Sie Symptome wie offene Zahnhälse oder Zahnfleischrückgang bei sich beobachten, sollten Sie diese immer mit einem Zahnarzt abklären. Wenn die Zähne nur noch locker im Kieferknochen verankert sind und drohen auszufallen, ist es meist schon zu spät. Ein bakterieller Befall wie Parodontitis kann das Zahnfleisch bis zum Halteapparat derart beschädigen, dass Zahnverlust die Folge sein kann. Wir erklären Ihnen die ersten Symptome und wer besonders anfällig für diese Erkrankung ist.
Parodontitis (Gingivitis), fälschlicherweise auch Parodontose genannt, ist eine meist chronische, anfangs schmerzlose bakterielle Infektion des Zahnhalteapparates (Zahnfleisch, Wurzelhaut, zahntragender Knochen). Durch Gewebeabbau entstehen sogenannte Zahnfleischtaschen. In den Spalten zwischen Zahn und Zahnfleisch können sich Bakterien besonders gut ansammeln. Dies kann durch bestimmte Bakterien verursacht werden, die teilweise anaerob (ohne Sauerstoff) leben.
Unsere Mundhöhle ist normalerweise von ca. 500 verschiedenen Bakterienstämmen besiedelt, die unser Immunsystem in kleinen Konzentrationen problemlos kontrollieren kann. Bei Vernachlässigung der Mundhygiene bilden sich klebrige Zahnbeläge (Plaques), in denen sich die Bakterien massenhaft vermehren können. Durch Bakteriengiftstoffe (Toxine) kommt es zunächst zur Zahnfleischentzündung (Gingivitis). Diese macht sich meist durch eine verstärkte Blutungsneigung des Zahnfleisches beim Zähneputzen bemerkbar.
Im Frühstadium ist Parodontitis schmerzlos und lässt sich so am besten behandeln. Deshalb ist eine regelmäßige zahnärztliche Kontrolle wichtig. Bei der zahnärztlichen Untersuchung misst der Zahnarzt die Taschentiefen. Zusätzlich können Röntgenaufnahmen dabei helfen, einen möglichen Knochenabbau sichtbar zu machen. Die häufigsten Symptome sind bei voranschreitender Gingivitis:
Bei länger bestehender Gingivitis greift die Entzündung vom Zahnfleisch auf den die Zahnwurzel stützenden Kieferknochen über und beginnt diesen abzubauen. Es bilden sich zunächst Zahnfleisch-, dann Knochentaschen, in deren Tiefe zahnsteinartige Ablagerungen den Entzündungsprozess weiter verstärken können.
Ohne Behandlung durch einen Zahnarzt schreitet die Parodontitis weiter fort. Es kommt zur Zahnlockerung und schließlich zum Verlust des Zahnes.
Das Einzige, was jetzt noch Ihr Lächeln retten kann, ist Zahnersatz. Wenn Sie sich für die moderne Implantologie sowie für die ästhetische Zahnmedizin interessieren, finden Sie hier nähere Infos dazu.
Die Behandlung einer Parodontitis erfolgt individuell und wird auf den Patienten abgestimmt. In der Regel beginnen wir mit einer Vorbehandlung, in dieser erhalten Sie alle wichtigen Informationen zur optimalen Mundhygiene bei Zahnfleischentzündung. Außerdem empfehlen wir eine professionelle Zahnreinigung in unserer Praxis.
Die eigentliche Behandlung besteht aus der Ausreinigung der Zahnfleischtaschen, auch geschlossene Kürettage genannt. Dabei werden bakterielle Beläge und Zahnstein mit Küretten oder Ultraschallgeräten entfernt und die Wurzeloberflächen geglättet, um so die Bakterien zu reduzieren und die Entzündung zu stoppen.
Bei einer hartnäckigen Parodontitis kann zusätzlich die lokale oder systemische Gabe von Antibiotika erforderlich sein. Zusätzlich kann ein chirurgischer Eingriff (offene Kürettage oder Lappenoperation) bei sehr tiefen Zahnfleischtaschen notwendig sein. Dabei wird das Zahnfleisch unter örtlicher Betäubung zurückgeklappt, um die Wurzeloberflächen sichtbar zu machen und gründlich zu reinigen.
Ältere Menschen und Raucher sind besonders häufig von Parodontitis betroffen. Auch unzureichende Mundhygiene, falsche Ernährung oder starkes Übergewicht können die Bakterien, die Zahnfleischentzündungen verursachen, begünstigen. Aber auch Menschen mit bestimmten Erkrankungen wie Diabetes, einer genetischen Veranlagung oder hormonellen Veränderungen sind besonders anfällig für die Zahnfleischerkrankung.
Lassen Sie sich von Dr. Rüffert auf eine mögliche Parodontitis bei Ihrem nächsten Termin untersuchen.

Bakterien aus Zahnfleischtaschen unter dem Mikroskop

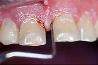
Gingivitis mit Taschenbildung und ausgeprägter Blutungsneigung

Fortgeschrittene Parodontitis mit tiefer Knochentasche
Die Gesundheit Ihrer Zähne beeinflusst maßgeblich Ihr allgemeines Wohlbefinden und Ihre Gesundheit. Daher legen wir Ihnen ans Herz, regelmäßig Vorsorgemaßnahmen (Prophylaxe) zu ergreifen. Dazu zählen eine jährliche zahnärztliche Untersuchung, eine professionelle Zahnreinigung sowie das tägliche Zähneputzen. Diese Schritte sind entscheidend, um Erkrankungen wie Gingivitis effektiv vorzubeugen.
Wir laden Sie herzlich ein, einen Termin in unserer Zahnarztpraxis in Braunschweig zu vereinbaren. So stellen Sie sicher, dass Ihr strahlendes Lächeln erhalten bleibt und Ihre Zahngesundheit optimal unterstützt wird. Unser erfahrenes Team steht Ihnen mit Rat und Tat zur Seite, um Ihnen die bestmögliche zahnmedizinische Betreuung zu bieten. Lassen Sie uns gemeinsam daran arbeiten, Ihre Zahngesundheit langfristig zu sichern und Ihr Wohlbefinden zu steigern. Kontaktieren Sie uns noch heute, um den ersten Schritt in Richtung eines gesunden Lächelns zu machen.
Weitere Informationen zur Parodontologie und Parodontose finden Sie auch in folgendem PDF von Zahnarzt Dr. Rüffert – Zahnarztpraxis in Braunschweig.